Símbolo Fondo Science

Contacte para más información en el teléfono +34 629 829 605

Revista Española de Artroscopia y Cirugía Articular

Asociación Española de Artroscopia (AEA)

Cabecera Vol. 32. Fasc. 3. Núm. 85. Diciembre 2025
ISSN online: 2443-9754 (es)
ISSN impreso: 2386-3129 (es)
Vol. 32. Fasc. 3. Núm. 85. Diciembre 2025
10.24129/j.reaca.32385.fs2409018
Recibido: 24 de septiembre de 2024
Aceptado: 28 de octubre de 2025
Casos clínicos

Resección artroscópica de quiste sinovial del ligamento cruzado anterior: a propósito de dos casos

Arthroscopic resection of anterior cruciate ligament synovial cyst: a review of two cases

Rev Esp Artrosc Cir Articul. 2025;35(3):205-9

Resumen: 

Los quistes sinoviales en el ligamento cruzado anterior (LCA) de la rodilla son una entidad poco frecuente, cuya presentación clínica suele desarrollarse de manera insidiosa. Deben sospecharse en pacientes con dolor en los últimos grados de flexión, especialmente durante el desarrollo de actividades que impliquen realizar carga de la extremidad. De manera frecuente, los síntomas ceden con programas estructurados de fisioterapia o mediante infiltraciones intraarticulares; sin embargo, en casos refractarios puede ser necesaria la intervención quirúrgica. Se presentan dos casos clínicos de quistes localizados en el LCA en los que, tras un programa de rehabilitación basado en ejercicios de fuerza y movilidad sin mejoría clínica, se indicó realizar una resección artroscópica. La intervención quirúrgica se realizó utilizando la posición “de cuatro” de la extremidad, para optimizar la visualización del fascículo posterolateral. Ambos pacientes evolucionaron favorablemente, con resolución completa del dolor, ausencia de recidiva y sin signos de inestabilidad postoperatoria.

Estos hallazgos destacan la importancia de considerar esta patología poco frecuente en el diagnóstico diferencial del dolor de rodilla y refuerzan la eficacia del abordaje artroscópico como alternativa terapéutica definitiva en casos seleccionados.

Abstract: 

Synovial cysts of the anterior cruciate ligament (ACL) are a rare condition, typically presenting with an insidious onset that often delays diagnosis. They should be considered in patients experiencing pain at the terminal range of flexion, particularly during weight-bearing activities. While symptoms frequently resolve with structured physiotherapy protocols or intra-articular injections, surgical management may be required in refractory cases. We report two clinical cases of ACL cysts in which rehabilitation programs focused on strength and mobility exercises failed to achieve symptom resolution, prompting arthroscopic resection. The procedures were performed with the knee positioned in the “figure-of-four” configuration to enhance visualization of the posterolateral bundle. Both patients achieved favorable outcomes, with complete pain resolution, no recurrence, and preserved postoperative stability.

These observations emphasize the need to include this rare entity in the differential diagnosis of knee pain and support arthroscopic resection as an effective and definitive treatment option in selected patients.

Introducción

La existencia de los quistes sinoviales intraarticulares de localización en el ligamento cruzado anterior (LCA) fue descrita por Caan en 1924(1). El mecanismo lesional subyacente de esta patología sigue siendo desconocido y se han propuesto diferentes teorías respecto a su origen, tales como la degeneración mucinosa del tejido conectivo del LCA, una herniación de tejido sinovial o un traumatismo que desencadena un proceso degenerativo y la formación del quiste(2). La incidencia de los quistes sinoviales en el LCA varía entre el 1 y el 1,3% según los estudios realizados mediante resonancia magnética (RM), mientras que en series artroscópicas la prevalencia oscila entre el 0,6 y el 2%. La mayor parte de los casos son asintomáticos y, cuando presentan síntomas, la edad media de los pacientes es de 39 años(2). Los síntomas más comunes incluyen el dolor crónico de inicio insidioso, con exacerbaciones durante los movimientos de flexión máxima, típicamente durante la carga(3). Habitualmente, los síntomas desaparecen con terapia física y, en los pacientes que no responden a esta, la resección artroscópica es considerada el tratamiento de elección(3,4). Se presentan dos casos clínicos de gangliones del LCA tratados mediante resección artroscópica.

Presentación de los casos

El primer caso clínico consiste en un varón de 43 años, agricultor, que consultó por dolor de la rodilla derecha de meses de evolución, sin un mecanismo desencadenante claro. El paciente refería dolor especialmente con la flexión forzada más allá de los 90°, presentando incluso bloqueos articulares de repetición, episodios de inflamación recurrente en la rodilla y mostrando una clara dificultad para colocarse en posición de cuclillas. En la inspección no presentaba alteraciones significativas en el plano coronal. El balance articular pasivo de la rodilla no presentaba limitaciones mecánicas, aunque se desencadenaba el dolor a partir de los 90° de flexión. La rodilla presentaba estabilidad en todos los planos y tanto la exploración meniscal como femoropatelar resultaron anodinas.

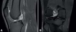
No se evidenciaron alteraciones significativas en el estudio radiológico simple realizado. En la RM se evidenció la presencia de un ganglión del LCA con afectación de su fascículo posterolateral (Figura 1).

reaca.32385.fs2409018-figura1.png


Figura 1. Imagen de resonancia magnética del quiste sinovial localizado en el ligamento cruzado anterior. A: secuencia PDW SPIR en corte sagital de la rodilla; B: secuencia PDW SPIR en corte coronal de la rodilla.

El segundo caso clínico corresponde a una mujer de 56 años que consultó por dolor en la rodilla izquierda de 4 meses de evolución, sin mecanismo traumático. La paciente refería dolor de características mecánicas y con los últimos grados de flexión en la zona posterior de la rodilla, no presentaba episodios de bloqueos articulares y no refería síntomas de inestabilidad. En la inspección no presentaba alteraciones significativas en el plano coronal. El balance articular pasivo de la rodilla presentaba limitación a partir de los 100°, desencadenando dolor. La rodilla presentaba estabilidad en todos los planos y tanto la exploración meniscal como femoropatelar resultaron anodinas.

reaca.32385.fs2409018-figura2.png


Figura 2. Imagen de resonancia magnética del quiste sinovial localizado en el ligamento cruzado anterior en cortes sagitales. A: secuencia DP FS en corte sagital de la rodilla; B: secuencia DP T1 en corte sagital de la rodilla.

En las pruebas complementarias no presentaba alteraciones óseas en las radiografías en carga anteroposterior y lateral de rodilla. El estudio mediante RM evidenció un ganglión sinovial intercondilar de 25 mm (Figura 2).

reaca.32385.fs2409018-figura3.png


Figura 3. Visión artroscópica desde el portal anterolateral de la rodilla derecha. Se observa el quiste sinovial del ligamento cruzado anterior (LCA) en el fascículo posterolateral. A: visión con palpador diferenciando fibras del LCA sano del quiste; B: visión con la rodilla en posición “de cuatro” en la que se observa el pinzamiento del quiste en el espacio tibiofemoral lateral.

Tras realizar durante 8 semanas el programa de tratamiento rehabilitador establecido en nuestras instituciones basado en un programa de ejercicios de fuerza y movilidad, sin evidenciarse mejoría clínica ni resolución de los síntomas, se determinó en ambos casos la indicación de resección artroscópica del ganglión.

Técnica quirúrgica

En ambos pacientes se realizó anestesia raquídea para realizar la cirugía y se utilizó manguito de isquemia a nivel del muslo. Se colocó al paciente en decúbito supino, utilizando un soporte en U en el tercio distal del muslo para la fijación de la extremidad. Se realizaron los portales artroscópicos habituales anterolateral y anteromedial, objetivando en la exploración diagnóstica de la rodilla la presencia de un ganglión localizado en el fascículo posterolateral del LCA (Figura 3) que, cuando se realizaban los movimientos de flexión y en posición de cuatro, se pinzaba en el espacio articular tibiofemoral externo. Para realizar la resección artroscópica del quiste se colocó al paciente en la posición “de cuatro”, facilitando la diferenciación anatómica de los fascículos anteromedial y posterolateral del LCA, tal y como proponen Hopper G et al.(4). Se realizó la disección y exéresis cuidadosa del quiste con una pinza basket, un terminal shaver de 4 mm y un terminal de ablación por radiofrecuencia (Figura 4). Al finalizar la resección del quiste, se realizó una nueva exploración dinámica de la rodilla, donde se evidenció la ausencia de pinzamiento entre el LCA, el cóndilo femoral y el platillo tibial lateral, a la vez que se comprobó la estabilidad del remanente del LCA (Figura 5).

reaca.32385.fs2409018-figura4.png


Figura 4. Visión artroscópica desde el portal anterolateral. Se introduce a través del portal anteromedial el instrumental. A: inicio del desbridamiento del quiste con un basket artroscópico; B: se continúa el desbridamiento del quiste con un shaver de 4 mm respetando las fibras del ligamento cruzado anterior sano.

En el postoperatorio se autorizó la movilidad y la carga progresiva con bastones según la tolerancia. En ambos pacientes la sintomatología dolorosa y las restricciones de movilidad articular se resolvieron completamente. No se realizó RM de control en ninguno de los dos casos.

reaca.32385.fs2409018-figura5.png


Figura 5. Visión artroscópica desde el portal anterolateral. A: tras el desbridamiento se observa que no existe pinzamiento del espacio articular femorotibial lateral en posición “de cuatro” a 90° de flexión; B: palpación de la tensión del remanente del ligamento cruzado anterior.

Discusión

Los quistes sinoviales asociados al LCA presentan una baja incidencia, siendo un hallazgo en el 1 al 1,3% de las RM realizadas(4,5). En series artroscópicas la prevalencia oscila entre el 0,6 y el 2%. Respecto a la forma de presentación, en un 62% de los casos se localizan sobre un LCA de características normales y en un 35% de los casos los quistes pueden coexistir con la degeneración mucoide de este ligamento(2,5,6).

La patogenia de estos quistes es desconocida, existiendo diversas teorías sobre su origen. Una de ellas postula que la formación del quiste podría estar relacionada con la degeneración mucinosa del tejido conectivo del LCA(5). Otra teoría sugiere que la herniación de tejido sinovial, como resultado de un traumatismo o microtraumatismos repetidos, podría desencadenar un proceso degenerativo que conlleva a la formación del quiste(7).

En términos generales, los quistes sinoviales se presentan de manera asintomática, aunque en los casos sintomáticos, la edad de aparición suele encontrarse entre los 20 y 40 años. La sintomatología inicia de forma insidiosa, con dolor crónico en la rodilla, localizado principalmente en ambas interlíneas articulares y en la región posterior. Es característico que el dolor se exacerbe durante los últimos grados de flexión, particularmente durante la fase de carga, y, en ciertos casos, dependiendo de su ubicación, puede asociarse con limitación en el rango de movimiento articular, especialmente en flexión. Además, estos quistes pueden coexistir con otras patologías intraarticulares, como roturas meniscales o condropatías(3,5).

La RM es considerada actualmente el gold standard para el diagnóstico, siendo necesario realizar el diagnóstico diferencial con la degeneración mucoide del LCA(2,8). Bergin et al. describieron 3 criterios para el diagnóstico de los quistes sinoviales: imagen hiperintensa en T2 con respecto al líquido articular, efecto masa sobre las fibras del ligamento y la presencia de lobulaciones en el quiste. Además, describieron los criterios para el diagnóstico de degeneración mucoide del LCA: aumento de intensidad en las secuencias ponderadas T1 y en T2, fibras del LCA no claramente visibles en las secuencias ponderadas en T1 o de densidad protónica, pero sí en las secuencias ponderadas en T2. Tanto para los quistes sinoviales como para la degeneración mucoide deben excluirse roturas parciales del LCA visualizando ambos haces intactos desde su origen hasta la inserción(6).

El manejo terapéutico sigue siendo objeto de controversia debido a la baja incidencia de estas lesiones. Las opciones terapéuticas incluyen el tratamiento rehabilitador, la punción guiada por ecografía o tomografía computarizada (TC) y la exéresis artroscópica. El desbridamiento artroscópico es actualmente el gold standard, permite realizar una exéresis completa y tratar en el mismo acto quirúrgico la patología intraarticular asociada(3,4).

La punción guiada por TC descrita por Antonacci es una opción terapéutica que aboga por un abordaje menos invasivo(9,10). La punción guiada por ultrasonidos se ha planteado recientemente como una alternativa terapéutica(11). Aún no hay bibliografía sobre posibles recurrencias ni estudios que comparen estos tratamientos percutáneos con la resección artroscópica.

La técnica propuesta por el grupo de Sonnery-Cottet para la resección artroscópica en posición de “cuatro” ofrece una opción quirúrgica adecuada para aquellos quistes localizados en el fascículo posterolateral del LCA(4). Por otra parte, Malinowski et al. proponen una técnica artroscópica centrada en la descompresión anteroposterior, preservando al mismo tiempo la integridad del LCA. La técnica consiste en realizar incisiones longitudinales a lo largo del ligamento que permiten la evacuación del líquido mucoso asociado a una condiloplastia que permita la flexoextensión completa sin pinzamiento(12).

En la literatura actual, no se han reportado recurrencias a los 2 años tras el procedimiento de exéresis artroscópica(8). No obstante, existen riesgos asociados al empleo de las técnicas de desbridamiento artroscópico, como la posible yatrogenia sobre el LCA al resecar el quiste sinovial y, por lo tanto, la posible inestabilidad residual resultante. En un estudio que incluía 29 rodillas tratadas mediante la resección parcial del LCA por degeneración mucoide sintomática, Lintz et al. informaron de la necesidad de reconstruir el LCA en un 7% de los casos(13) y, de manera similar, McIntyre et al.(14) informaron de un caso de rotura atraumática del LCA un año después de la resección parcial. Cha et al. notificaron que el 6% de los pacientes refieren inestabilidad anterior en ausencia de traumatismo en 10 años de seguimiento(15).

Conclusión

Los gangliones localizados en el LCA son una patología de patogenia desconocida y de baja incidencia. Aunque en su mayoría se presentan de manera asintomática, es fundamental sospechar esta entidad en casos de gonalgias inespecíficas, sobre todo las que cursen con dolor típicamente en los últimos grados de flexión.

El diagnóstico debe confirmarse con pruebas de imagen, siendo la RM el gold standard, que al mismo tiempo nos permite descartar otros procesos que pudieran ser causa de la sintomatología. A pesar de la poca bibliografía publicada sobre el manejo de esta patología, el tratamiento gold standard actualmente consiste en la resección artroscópica, la cual es una técnica segura, que permite la exéresis completa y la recuperación sin recidivas documentadas.

Figuras

Figura 1. Imagen de resonancia magnética del quiste sinovial localizado en el ligamento cruzado anterior. A: secuencia PDW SPIR en corte sagital de la rodilla; B: secuencia PDW SPIR en corte coronal de la rodilla.

Figura 2. Imagen de resonancia magnética del quiste sinovial localizado en el ligamento cruzado anterior en cortes sagitales. A: secuencia DP FS en corte sagital de la rodilla; B: secuencia DP T1 en corte sagital de la rodilla.

Figura 3. Visión artroscópica desde el portal anterolateral de la rodilla derecha. Se observa el quiste sinovial del ligamento cruzado anterior (LCA) en el fascículo posterolateral. A: visión con palpador diferenciando fibras del LCA sano del quiste; B: visión con la rodilla en posición “de cuatro” en la que se observa el pinzamiento del quiste en el espacio tibiofemoral lateral.

Figura 4. Visión artroscópica desde el portal anterolateral. Se introduce a través del portal anteromedial el instrumental. A: inicio del desbridamiento del quiste con un basket artroscópico; B: se continúa el desbridamiento del quiste con un shaver de 4 mm respetando las fibras del ligamento cruzado anterior sano.

Figura 5. Visión artroscópica desde el portal anterolateral. A: tras el desbridamiento se observa que no existe pinzamiento del espacio articular femorotibial lateral en posición “de cuatro” a 90° de flexión; B: palpación de la tensión del remanente del ligamento cruzado anterior.

Cita bibliográfica

Ara Toledo P, Ara Pinilla J, Santander Cabañas M, Zamora Vicente de Vera J, Iglesias Durán E, Jiménez Fermín MResección artroscópica de quiste sinovial del ligamento cruzado anterior: a propósito de dos casos. Rev Esp Artrosc Cir Articul. 2025;35(3):205-9. doi: 10.24129/j.reaca.32385.fs2409018

Responsabilidades éticas

Conflicto de interés. Los autores declaran no tener ningún conflicto de interés.

Financiación. Este trabajo no ha sido financiado.

Protección de personas y animales. Los autores declaran que para esta investigación no se han realizado experimentos en seres humanos ni en animales.

Confidencialidad de los datos. Los autores declaran que han seguido los protocolos de su centro de trabajo sobre la publicación de datos de pacientes.

Derecho a la privacidad y consentimiento informado. Los autores declaran que en este artículo no aparecen datos de pacientes.

Referencias bibliográficas

  • 1
    Caan P. Cyst formation (ganglion) in the anterior cruciate ligament of the knee [Zystenbildung (Ganglion) im Ligamentum cruciatum ant. genus]. Langenbecks Arch Klin Chir Ver Dtsch Z Chir 1924;186:403-8.
  • 2
    Vaishya R, Esin Issa A, Agarwal AK, Vijay V. Anterior cruciate ligament ganglion cyst and mucoid degeneration: A review. Cureus. 2017;9(9):e1682.
  • 3
    Mao Y, Dong Q, Wang Y. Ganglion cysts of the cruciate ligaments: a series of 31 cases and review of the literature. BMC Musculoskelet Disord 2012;13(1):137.
  • 4
    Hopper GP, Gousopoulos L, Rowlands B, et al. Posterolateral bundle resection for an anterior cruciate ligament ganglion cyst. Arthrosc Tech. 2023;12(6):e831-5.
  • 5
    Krudwig WK, Schulte KK, Heinemann C. Intra-articular ganglion cysts of the knee joint: a report of 85 cases and review of the literature. Knee Surg Sports Traumatol Arthrosc. 2004;12(2):123-9.
  • 6
    Bergin D, Morrison WB, Carrino JA, et al. Anterior cruciate ligament ganglia and mucoid degeneration: coexistence and clinical correlation. AJR Am J Roentgenol. 2004;182(5):1283-7.
  • 7
    Kakutani K, Yoshiya S, Matsui N, et al. An intraligamentous ganglion cyst of the anterior cruciate ligament after a traumatic event. Arthroscopy. 2003;19(9):1019-22.
  • 8
    Lunhao B, Yu S, Jiashi W. Diagnosis and treatment of ganglion cysts of the cruciate ligaments. Arch Orthop Trauma Surg. 2011;131(8):1053-7.
  • 9
    Antonacci VP, Foster T, Fenlon H, et al. Technical report: CT-guided aspiration of anterior cruciate ligament ganglion cysts. Clin Radiol. 1998;53(10):771-3.
  • 10
    Sonnery-Cottet B, Guimarães TM, Daggett M, et al. Anterior cruciate ligament ganglion cyst treated under computed tomography-guided aspiration in a professional soccer player. Orthop J Sports Med. 2016;4(5):2325967116644585.
  • 11
    Krill M, Peck E. Percutaneous ultrasound-guided aspiration of an anterior cruciate ligament ganglion cyst: Description of technique and case presentation. PM R. 2014;6(12):1166-9.
  • 12
    Malinowski K, Koźlak M, Kennedy NI. ACL Mucoid Degeneration Anterior and Posterior Arthroscopic Decompression for Combined Knee Flexion-Extension Deficit. Arthrosc Tech. 2023;12:e1495-505.
  • 13
    Lintz F, Pujol N, Dejour D, et al. Anterior cruciate ligament mucoid degeneration: selecting the best treatment option. Orthop Traumatol Surg Res. 2010;96(4):400-6.
  • 14
    McIntyre J, Moelleken S, Tirman P. Mucoid degeneration of the anterior cruciate ligament mistaken for ligamentous tears. Skeletal Radiol. 2001;30(6):312-5.
  • 15
    Cha JR, Lee CC, Cho SD, et al. Symptomatic mucoid degeneration of the anterior cruciate ligament. Knee Surg Sports Traumatol Arthrosc. 2013;21(3):658-63.

Descargar artículo: 

Icono PDF reaca.32385.fs2409018-reseccion-artroscopica-de-quiste-sinovial.pdf

Licencia: 

Este contenido es de acceso abierto (Open-Access) y se ha distribuido bajo los términos de la licencia Creative Commons CC BY-NC-ND (Reconocimiento-NoComercial-SinObraDerivada 4.0 Internacional) que permite usar, distribuir y reproducir en cualquier medio siempre que se citen a los autores y no se utilice para fines comerciales ni para hacer obras derivadas.

Comparte este contenido

En esta edición

Licencia de Creative Commons
Revista Española de Artroscopia y Cirugía Articular está distribuida bajo una licencia de Creative Commons Reconocimiento-NoComercial-SinObraDerivada 4.0 Internacional.