
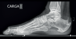
Figura 5. Radiografía lateral en carga del paciente de la Figura 4: obsérvese la ocupación del triángulo de Kager, la presencia de espolones óseos y de una calcificación intratendinosa. Se aprecia también el aumento del espesor de la sombra del tendón de Aquiles, demostrativo del engrosamiento tendinoso y el espolón plantar expresión de la alteración del sistema aquíleo calcáneo plantar.